Blanqueamiento Dental
El blanqueamiento dental consiste en aplicar unas sustancias en forma de gel sobre el diente para conseguir que sean más blancos y brillantes. Dichas sustancias (peróxido de carbamida o peróxido de hidrógeno) actúan sobre el esmalte haciendo que el oxígeno penetre hasta la capa interna del diente aclarándolo.

TE LLAMAMOS SIN COMPROMISO
Nuestros blanqueamientos
Es uno de los tratamientos preferidos y más demandados en la consulta dental. Se realiza previamente una exhausitva profilaxis de los dientes donde, además de eliminar la placa baceriana, se eliminan las manchas externas mediante un pulido con cepillo y pasta.
Blanqueamiento
dental en casa
Se puede realizar en casa con unas férulas hechas a medida y gel de peróxido de carbamida (al 10 ó 16%) durante 90 minutos, y desde una semana a un mes, dependiendo de la respuesta de cada paciente.
Blanqueamiento
profesional en clínica
También podemos aplicarlo en consulta, aplicando sobre los dientes el gel de peróxido de hidrògeno al 35% y activándolo con una luz halógena. Dicho tratamiento es supervisado por un odontólogo y realizado por nuestras higienistas, que tienen más de 20 años de experiencia.
Blanqueamiento
combinado
Combinamos las dos técnicas para conseguir mejores resultados en aquellos pacientes que lo necesiten. Se realiza el tratamiento en consulta y en casa durante sólo una semana con las férulas a medida. En casos en que el color del diente sea muy oscuro.
Blanqueamiento
en dientes con manchas de tetraciclinas
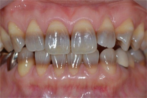
Muchos pacientes muestran en sus dientes una coloración parduzca incluso con bandas blancas. Dicha coloración se debe a que en los años 70 se trataban ciertas patologías con un antibiótico llamado tetraciclina, provocando como efecto secundario dichas manchas.
Las manchas por tetraciclinas son más resistentes al tratamiento de blanqueamiento, y por eso existen geles de peróxido de hidrógeno a una proporción determinada para poder eliminarlas mejor. Otra alternativa para solucionar estos problemas de color son las carillas de porcelana.
Blanqueamiento
previo al tratamiento con carillas
Realizamos este blanqueamiento cuando el color de base es muy oscuro en toda la boca, como por ejemplo en el caso de las tetraciclinas, y así poder igualar al tono del resto de la boca, o facilitar que con fondos oscuros no exista tanta transparencia cuando se colocan las carillas.
Blanqueamiento
de diente no vital
Por último, blanqueamiento de un diente no vital (sin nervio). Se realiza en la consulta dental y consiste en la eliminación de todos los agentes decolorante y tejidos que han teñido el diente. Posteriormente se aplica un gel de peróxido de hidrógeno y se deja dentro del el diente, tapándolo con un empaste provisional. Pudiéndose repetir dicho tratamiento hasta conseguir el resultado deseado.
OTROS TRATAMIENTOS DE ESTÉTICA DENTAL
Preguntas frecuentes
¿Qué precauciones debo tomar durante el tratamiento?
Se aconseja no tomar o disminuir al máximo posible el tabaco, bebidas como café, té o colas. Además de, determinados alimentos como arándanos, moras y brócoli.
¿Cuánto dura?
No dura para siempre. Los dientes pueden volver a oscurecerse por factores externos como el tabaco, alimentación, higiene oral, desgaste fisiológico. Para ello, podemos realizar lo que llamamos un RECUERDO, con las férulas de blanqueamiento y una semana con el gel.
¿Qué mantenimiento hay que seguir?
Debe tenerse la misma higiene que con los dientes naturales. Se debe realizar un mantenimiento anual donde se realiza una limpieza, radiografías. Y en casa con una buena higiene oral ayudando con cepillos eléctricos, interdentales, hilo dental o irrigadores.
¿Provoca sensibilidad?
Algunos pacientes afirman tener sensibilidad durante el tratamiento. Dicha sensibilidad es pasajera y podemos disminuirla con dentríficos y colutorios especialmente indicados para este problema.
Las pastas de carbón activado, ¿blanquean los dientes?
El Consejo General de Dentistas, Madrid 24 de febrero, nos dice que «el carbón activado tiene una gran capacidad abrasiva, es como si nos pasáramos una lija por los dientes. Al desgastar el esmalte natural se producen varios efectos. El primero, es que queda a la vista la dentina, cuyo color es más amarillento que el esmalte. En segundo lugar, aumenta la sensibilidad dental, puesto que los nervios de los dientes estarán más desprotegidos. Y en tercer lugar, es que las encías también pueden quedar dañadas”.
¿No encuentras una respuesta?
Escríbenos con tus dudas y nos pondremos en contacto para resolverlas personalmente.
Solicita información
Solicita información o una 1ª visita sin coste. Nos pondremos en contacto personalmente para informarte de los detalles.






